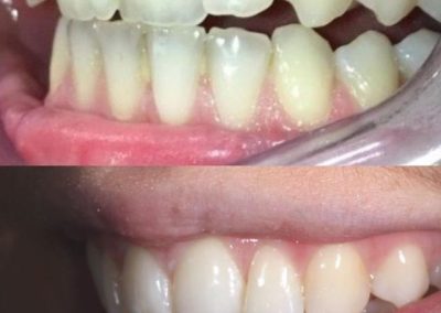
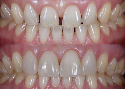
what is composite bonding?
Composite Bonding is when a white filling material is bonded to the enamel of your tooth to repair chips or to improve the shade and shape or even to close small spaces between teeth. Unlike porcelain veneers, which are manufactured in a laboratory and require your dentist to drill away some healthy tooth structure, composites can be applied in one visit with no tooth removal.
Dental bonding is an easy and quick way of improving the look of your teeth but also a fantastic way to boost your confidence and improve your overall dental hygiene. The composite resin can be applied in just one visit, and the procedure is a minimally invasive and pain-free option for the beautiful smile you’re looking for.

is composite bonding painful?
Not at all. Bonding is painless and often performed without the use of an anaesthetic since very little tooth removal is necessary.
Composite bonding aftercare
The treatment is very durable and can last without special visits and upkeep; however, it is recommended you avoid biting on hard objects such as ice or apples.
Time and diet may cause staining to occur and for resin to become less tooth coloured. If this happens, we recommend coming in and getting them polished correctly every few years to replenish the gloss finish and keep your teeth sparkling and without imperfection.
We accept the following payment methods
RBS
Sort code: 83-24-07
Account number: 00149702
Emergency Appointments
Please be aware that any same day emergency appointments you make you will be charged at £75 for the appointment (treatment cost not inclusive)
Any out of hours emergency appointments you make will be charged at £125 for the appointment (treatment cost not inclusive)
Payments for any emergency appointment slots will be required at the time of booking which can be paid over the phone
Any treatment required can be paid by your preference of payment method at the end of your appointment
